你有没有想过,那些在医生口中提到的“造影图片”,究竟是什么神奇的东西呢?它就像是一把无形的钥匙,能打开我们身体内部的秘密之门。今天,就让我带你一起探索这个神秘的世界,揭开造影图片的神秘面纱吧!
一、什么是造影图片?

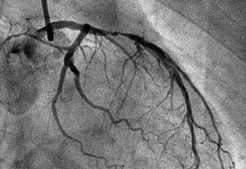
造影图片,顾名思义,就是通过注入造影剂,使人体内部器官在X光、CT、MRI等影像设备下呈现出更加清晰、直观的图像。简单来说,它就像是在你的身体里装了一个“小灯泡”,让医生能够看到那些平时难以察觉的病变。
二、造影图片的应用

1. 心脏检查:通过心脏造影,医生可以清晰地看到心脏的血管情况,判断是否存在狭窄、堵塞等问题。
2. 血管检查:血管造影可以帮助医生发现血管的病变,如动脉瘤、血管瘤等。
3. 肝脏检查:肝脏造影可以观察到肝脏的大小、形态、血管分布等,有助于诊断肝脏疾病。
4. 肾脏检查:肾脏造影可以显示肾脏的形态、大小、血管分布等,有助于诊断肾脏疾病。
5. 脑部检查:脑部造影可以观察到脑部血管的情况,有助于诊断脑部疾病。
三、造影图片的优势

1. 直观性:造影图片可以直观地展示人体内部器官的形态、大小、血管分布等,有助于医生做出准确的诊断。
2. 准确性:造影剂的使用可以提高影像的清晰度,减少误诊率。
3. 安全性:目前常用的造影剂多为非离子型,对人体毒性较低,安全性较高。
四、造影图片的注意事项
1. 过敏反应:部分患者可能对造影剂过敏,因此在注射前需进行过敏测试。
2. 肾功能:肾功能不全的患者需谨慎使用造影剂,以免加重肾脏负担。
3. 注射部位:注射造影剂时,需注意注射部位的选择,避免损伤血管。
4. 术后观察:注射造影剂后,需观察患者是否有不适反应,如头痛、恶心等。
五、未来展望
随着科技的不断发展,造影技术也在不断创新。例如,纳米造影剂、磁共振波谱成像等新技术,将为医生提供更加精准的诊断依据。
造影图片作为一种重要的医学影像技术,在临床诊断中发挥着重要作用。了解造影图片,有助于我们更好地认识自己的身体,预防疾病。所以,下次当医生提到“造影图片”时,你不妨多了解为自己的健康保驾护航。
